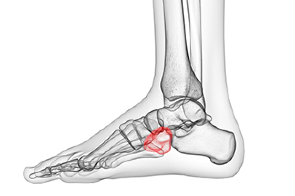
The cuboid bone is one of 8 tarsal bones in the foot that sits just on the outside of the foot near the ankle. When this bone becomes dislocated (either partially or completely), cuboid syndrome may occur. Cuboid syndrome often occurs after an ankle sprain, but it can happen without any other injury. If the peroneal muscle that attaches to the bone pulls the bone too hard, the cuboid can dislocate. Two common symptoms of cuboid syndrome include pain on the outside of the foot (especially when bearing weight) and overpronation of the feet (where they either roll in or flatten). Patients who believe that they may have cuboid syndrome should consult with a podiatrist. A podiatrist will be able to put the bone back into proper alignment, as well as provide suggestions for helping to keep the bone in place.
Cuboid syndrome, also known as cuboid subluxation, occurs when the joints and ligaments near the cuboid bone in the foot become torn. If you have cuboid syndrome, consult with Joseph D. Ruffo, DPM, PC from New York. Our doctor will assess your condition and provide you with quality foot and ankle treatment.
Cuboid syndrome is a common cause of lateral foot pain, which is pain on the outside of the foot. The condition may happen suddenly due to an ankle sprain, or it may develop slowly overtime from repetitive tension through the bone and surrounding structures.
Causes
The most common causes of cuboid syndrome include:
- Injury – The most common cause of this ailment is an ankle sprain.
- Repetitive Strain – Tension placed through the peroneus longus muscle from repetitive activities such as jumping and running may cause excessive traction on the bone causing it to sublux.
- Altered Foot Biomechanics – Most people suffering from cuboid subluxation have flat feet.
Symptoms
A common symptom of cuboid syndrome is pain along the outside of the foot which can be felt in the ankle and toes. This pain may create walking difficulties and may cause those with the condition to walk with a limp.
Diagnosis
Diagnosis of cuboid syndrome is often difficult, and it is often misdiagnosed. X-rays, MRIs and CT scans often fail to properly show the cuboid subluxation. Although there isn’t a specific test used to diagnose cuboid syndrome, your podiatrist will usually check if pain is felt while pressing firmly on the cuboid bone of your foot.
Treatment
Just as the range of causes varies widely, so do treatments. Some more common treatments are ice therapy, rest, exercise, taping, and orthotics.
If you have any questions, please feel free to contact one of our offices located in Sea Cliff and Babylon, NY . We offer the newest diagnostic and treatment technologies for all your foot care needs.






